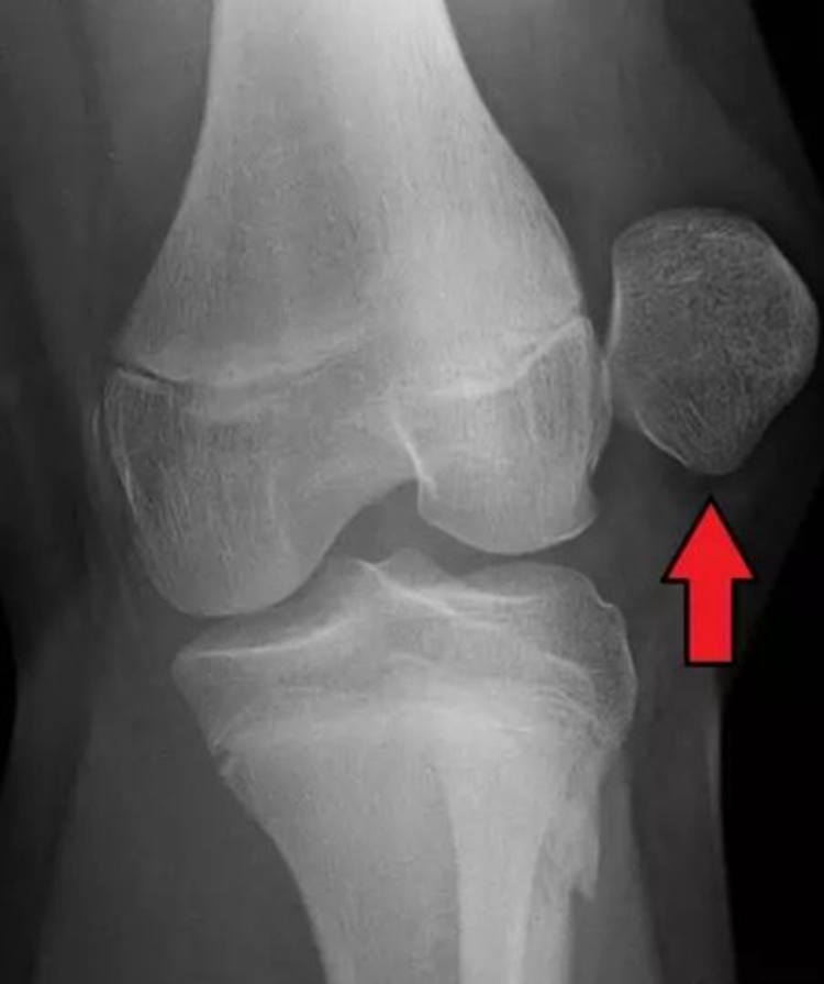
近日,我院疼痛科顺利完成一例“关节镜下左侧膝关节探查游离体取出术+C臂机下左侧髌股韧带重建术”,该患者5年前曾有左侧膝关节外伤史,伤后左侧膝关节时感不适。2月前患者左侧膝关节再次受伤,伤后左侧膝关节肿痛明显,症状愈发加重,遂到我院求诊。入院行相关检查后诊断为左髌骨脱位、髌股韧带断裂。疼痛科主任陈永富根据患者病情,为患者行关节镜联合C臂精准定位行膝关节微创治疗,术中仅在患者膝关节前方做四个约1cm的小切口,就在关节镜下一次性完成精确的病变切除或修复治疗。术后第一天患者关节疼痛感明显减轻,能正常行走,对手术疗效非常满意。此次手术的成功,也标志着我院疼痛微创手术跃上了一个新的台阶。 (投稿/疼痛科 陈永富)
【知识链接】
相比传统手术,关节镜具有创伤小、恢复快、诊断准、操作精、处理全、外观美等优点。其主要用于治疗膝、肩、踝关节的常见疾病:如骨性关节炎、滑膜炎、关节内游离体、半月板损伤、交叉韧带断裂、肩周关节炎、冻结肩、肩峰撞击症、肩袖损伤、Bankart损伤、踝关节撞击症等。关节镜手术适用广,禁忌症少,是目前骨科疾病中最理想的诊断与微创手术治疗方式。


下一篇:夏季易发青春痘 治疗方法有很多
友情链接:
24小时行政总值班:0870-2230658
24小时急救电话:0870-2120120
联系电话:0870-2233331 地址:云南省昭通市昭阳区团结路26号
版权所有 Copyright © 昭通市中医医院 滇ICP备20001378号-4 本站部分素材源于网络,如有侵权,请联系作者删除!
技术支持:川海科技