我院骨伤科在常规开展髋关节、膝关节置换手术的基础上,于近日顺利完成一例肩关节置换手术。该手术的常规开展,标志着我院骨伤科在骨关节手术上又实现了一个新的突破。
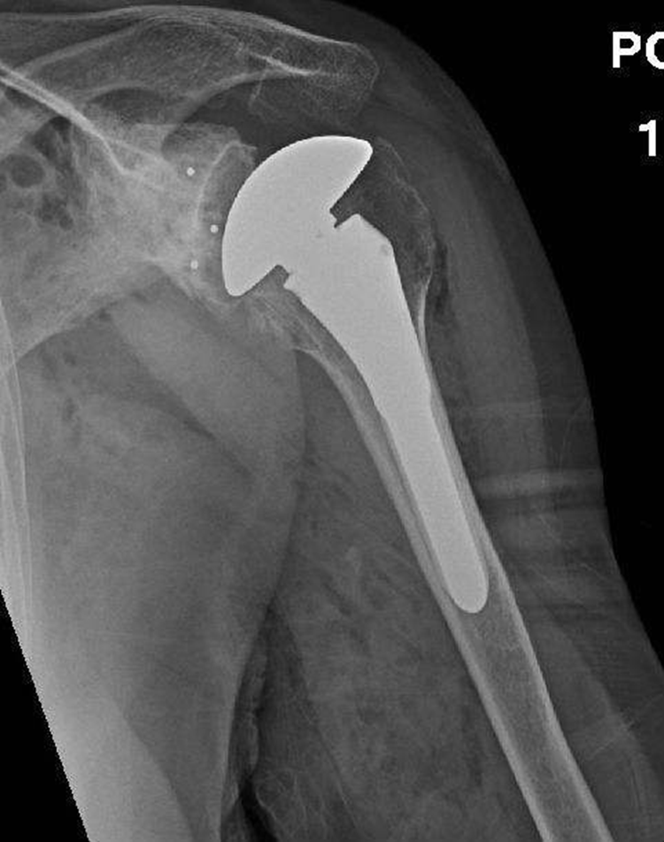
据了解,该患者已经八十多岁的高龄,因左肩关节粉碎性骨折、活动受限入住我院。骨伤科医务人员为其进行了相关检查,诊断为左肱骨近端粉碎性骨折,如果保守治疗或切开复位内固定手术效果差,如果按传统采取内固定手术,患者术后存在骨折不愈合及肱骨头坏死几率较高等问题,且肩关节功能恢复较差,经骨伤科医疗团队研究后决定采取肩关节置换术。在经过充分的术前准备,制定了完善的手术方案后,在多学科的通力合作下,手术取得了圆满成功。(投稿/骨伤科 胡高)
【相关链接】
随着科技的发展,人工关节置换已成为治疗关节疾患的重要的骨科手术之一。目前人工髋关节置换和人工膝关节置换已在国内大量开展。早在 20 世纪 70 年代,人工肩节置换就已在欧美国家得到广泛地应用,它在治疗肩关节骨性关节炎、类风湿性关节炎及复杂肱骨近端骨折方面有着不可替代的重要地位。通过 30 多年的经验积累,人工肩节置换手术已成为一种极为成熟和可靠的术式。

友情链接:
24小时行政总值班:0870-2230658
24小时急救电话:0870-2120120
联系电话:0870-2233331 地址:云南省昭通市昭阳区团结路26号
版权所有 Copyright © 昭通市中医医院 滇ICP备20001378号-4 本站部分素材源于网络,如有侵权,请联系作者删除!
技术支持:川海科技