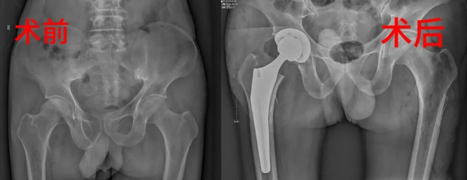
近日,昭通市中医医院骨伤科运用天玑骨科手术机器人,为一名47岁双侧股骨头坏死患者实施智能化保髋手术。

患者因双髋关节疼痛三年到骨伤科就诊,确诊为双侧股骨头缺血性坏死。科室采用"分步治疗"方案——先通过机器人辅助完成右侧人工全髋关节置换术,术中利用切除的健康股骨头制备自体骨颗粒;随后运用天玑骨科手术机器人三维定位系统,在左侧股骨头建立植骨通道,将自体骨精准植入坏死区域,有效清除病灶并重建血运。

股骨头坏死作为致残率高的骨科疑难病症,传统治疗面临定位难、创伤大等问题。天玑手术机器人通过智能规划,可精准避开重要血管神经,实现微创化治疗。该技术不仅能有效延缓病情进展,更为患者争取了宝贵的自体骨移植机会,显著降低假体置换带来的并发症风险及经济负担。
友情链接:
24小时行政总值班:0870-2230658
24小时急救电话:0870-2120120
联系电话:0870-2233331 地址:云南省昭通市昭阳区团结路26号
版权所有 Copyright © 昭通市中医医院 滇ICP备20001378号-4 本站部分素材源于网络,如有侵权,请联系作者删除!
技术支持:川海科技