昭通市中医病案质控中心2024年全体成员暨中医住...

近日,昭通市中医病案质控中心2024年全体成员暨中医病案首页填写培训工作会议在江山大...

2025-01-09
详情
医院召开GCP机构备案第二次模拟验收流程培训会议

1月8日上午,医院在急诊楼五楼会议室召开GCP机构备案模拟验收流程培训会议。会议分别...

2025-01-08
详情
昭通市中医医院开展新任职干部任前集体谈话

为深化医院党风廉政建设,增强新任干部的廉洁自律意识、履职能力和责任感,2025年1月...

2025-01-07
详情
昭通市中医医院肝病科正式成立

为满足广大肝病患者对高质量医疗服务的需求,昭通市中医医院经过精心筹备,于1月6日正式...

2025-01-06
详情
昭通市中医医院召开2025年第一次行政周会

2025年1月6日8:00,医院在急诊楼六楼会议室例行召开2025年第一次行政周会。...

2025-01-06
详情
北京中日友好医院杨阳教授专家团队工作站落户我院

2025年1月4日上午,我院在六楼会议室举行北京中日友好医院杨阳教授专家团队工作站签...

2025-01-04
详情
骨伤科成功完成一例复杂膝关节置换手术

近日,我院骨伤科成功完成了一例复杂的膝关节置换手术,为一名长期受膝关节病痛困扰的女性...

2025-01-03
详情
凝聚共识,抢抓机遇,共谋学科发展新篇章——医院召...

1月2日下午,医院在五楼会议室召开2025年创伤、骨伤、疼痛学科发展座谈会。会议深入...

2025-01-02
详情
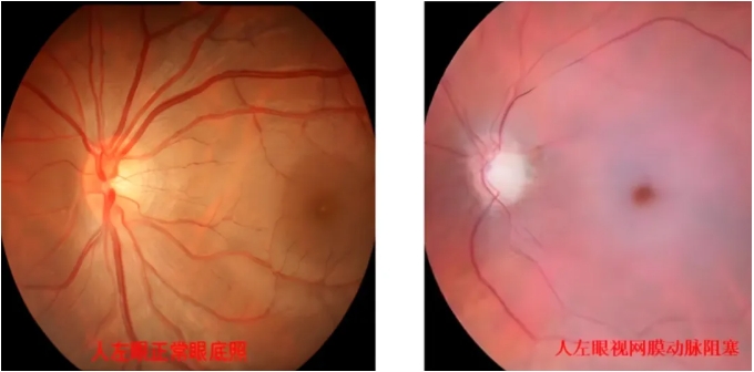
中医综合治疗显成效,视网膜中央动脉阻塞患者视力显...

近日,一名69岁男性患者因左眼突发视力下降10余天,在外院治疗4天后效果不佳,后慕名...

2024-12-31
详情
妇科实施宫颈妊娠复杂手术,为高危患者提供有效救治

近日,妇科接诊了一位25岁的年轻女性患者,经过超声检查,确诊其为宫颈妊娠,这是一种罕...

2024-12-30
详情

友情链接:

24小时行政总值班:0870-2230658

   24小时急救电话:0870-2120120

联系电话:0870-2233331        地址:云南省昭通市昭阳区团结路26号

版权所有 Copyright © 昭通市中医医院    滇ICP备20001378号-4  本站部分素材源于网络,如有侵权,请联系作者删除!

技术支持:川海科技

就医指南

健康百科

联系电话

投诉建议