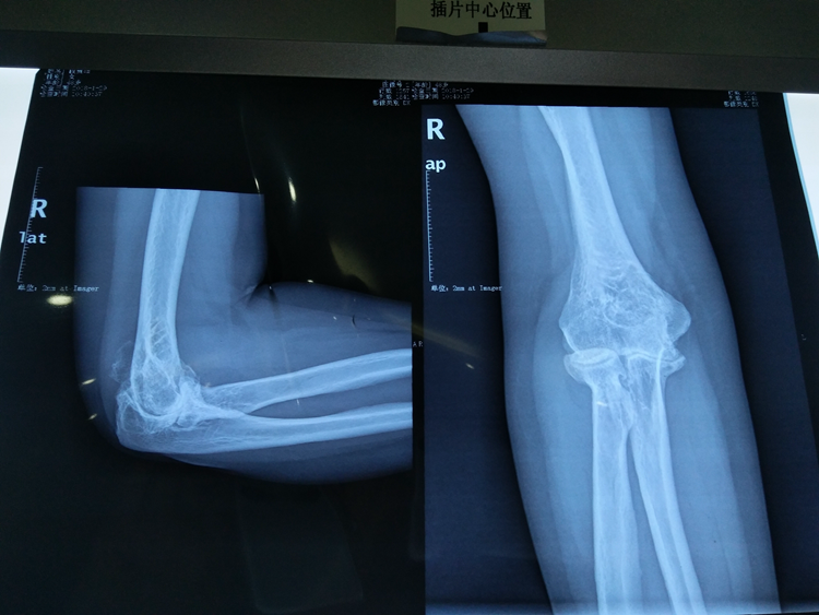
别再让无知害了孩子 ——骨伤科成功救治一名骨折后...

看到这些新闻,既心痛又愤怒。一般人可能会想:怎么还有这么无知的家长?也许你我不会犯这...

2020-02-27
详情
我院运用互联网授课新冠肺炎防控知识

此次“现场面对面”的讲座,增进了鲁甸县供电局职工对新冠肺炎的认识,对普及科学防护知识...

2020-02-25
详情
周书记一行到各科室督查疫情防控工作

随着各行各业的逐步复工复产,全力维护公众身体健康和生命安全,坚决有效遏制新型冠状病毒...

2020-02-25
详情
我院助力企业复工复产,有序推进返岗复工体检

为进一步贯彻落实昭通市新型冠状病毒感染的肺炎疫情防控指挥部相关通知要求和会议精神,助...

2020-02-24
详情
悬壶济荆楚 白衣作战袍(四) ——我院援湖北医疗...

2月21日晚19:30,我院医院再次对15名援湖北医疗队员就新冠肺炎诊疗方案、感染管...

2020-02-22
详情
齐发力,全力做好疫情防控宣传工作

为全力做好新冠疫情防控各项工作,加强疫情宣传报道,及时记录并肯定大家的工作成绩,树立...

2020-02-22
详情
临时食堂的“暖心饭菜”为疫情阻击战提供有力保障

 “疫情当前,街头各类餐饮店纷纷关门歇业,本以为只能天天吃泡面了,但是没想到医院的...

2020-02-20
详情
悬壶入荆楚,白衣做战袍 ——昭通市中医医院援湖北...

“感谢医院和组织的栽培和信任,通过医院的指导和培训,我的身心和知识都已经准备好了!”...

2020-02-19
详情
逆风前行,我们一直和您在一起

自新冠肺炎疫情发生以来,昭通市中医医院一直坚守在防疫战线上,为患者提供了远程会诊及线...

2020-02-17
详情
做好抗疫保障,医院增设临时食堂

为解决我院疫情防控期间医护人员和患者就餐问题,提供营养的“加油站”,经医院研究,决定...

2020-02-11
详情

友情链接:

24小时行政总值班:0870-2230658

   24小时急救电话:0870-2120120

联系电话:0870-2233331        地址:云南省昭通市昭阳区团结路26号

版权所有 Copyright © 昭通市中医医院    滇ICP备20001378号-4  本站部分素材源于网络,如有侵权,请联系作者删除!

技术支持:川海科技

就医指南

健康百科

联系电话

投诉建议